News Categories

Featured News - Current News - Archived News - News Categories

Home feature

Article Title: 

Viewing articles 2881 to 2920 of 5546 total.
<< Prev<<
6869707172737475767778
>>Next >>
River Region survives Winter Storm Quiana
Mon, Feb 25th 2019 01:55 pm
The lower portion of the River Region in Niagara County appears to have escaped the worst of what was billed as Winter Storm Quiana, an extremely strong system that blew through the Great Lakes to the eastern seaboard this past weekend.
HAL, BBC team for premiere Lewiston showing of 'Risking Everything'
Fri, Feb 22nd 2019 07:00 am
The 33-minute documentary film, titled "Risking Everything," will be shown at 6:30 p.m. Tuesday, March 5, in the Brickyard Brewing Company second-floor banquet hall, 436 Center St., Lewiston. Admission is free, and the public is invited. The room is easily accessible and an elevator is available.
Excitement for future of Frontier House on display at Village of Lewiston board meeting
Thu, Feb 21st 2019 08:25 am
A feeling of euphoria seemed to spread across the Village of Lewiston last week, as news broke of a limited liability company's purchase of the Frontier House. That emotion continued into Tuesday's municipal board meeting.
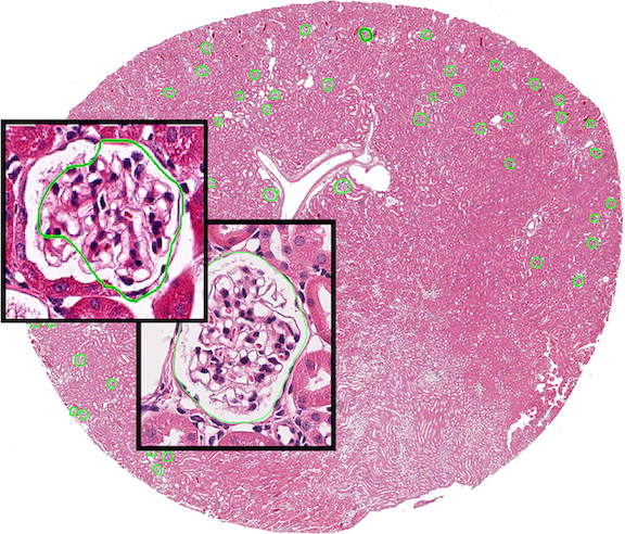
Fast, user-friendly segmentation tool lets medical professionals 'teach' computers to correctly annotate medical images
Wed, Feb 20th 2019 11:15 am
Pictures may be worth a thousand words but, with medical images, that's an understatement. Digital images of biopsies are especially valuable in diagnosing and tracking the progression of certain diseases, such as chronic kidney disease and cancer.
Whitesnake to rock Seneca Niagara Resort & Casino on May 18; Billy Ray Cyrus headed to SAC
Tue, Feb 19th 2019 02:40 pm
One of the hardest-rocking bands in history is back on the road and headed to Seneca Niagara Resort & Casino. Whitesnake will bring its "Flesh & Blood World Tour" to the Seneca Niagara Events Center at 8 p.m. Saturday, May 18. Tickets go on sale at noon Friday, Feb. 22.
Olcott Lions to celebrate 50 years of 'Swim For Sight'
Sat, Feb 16th 2019 07:00 am
The event? Well, it's the 50th anniversary of the Olcott Lions Club's legendary "Swim For Sight," of course.
Price Rite Marketplace, University at Buffalo donate 36 sacks of food from 'Sack Hunger' campaign
Fri, Feb 15th 2019 05:20 pm
Representatives from Price Rite Marketplace and the University at Buffalo football team donated 36 "sacks" of food to New Beginnings Food Pantry on Feb. 13 at Price Rite Marketplace of Amherst. The donation was a result of the football team's 36 sacks this season and included canned goods, fresh produce, rice, pasta and water.
NYPA teams with area first responders to practice ice rescues at Niagara Project's Lewiston Reservoir
Thu, Feb 14th 2019 12:25 pm
Passersby near the boat ramp at the New York Power Authority's Robert Moses Niagara Power Plant's Lewiston Reservoir on Feb. 5 would have witnessed an unusual sight: people in the freezing water amidst four to six inches of floating ice simulating the rescuing of individuals who've fallen into the water after stepping out on unstable ice on the reservoir.
Mash Camp students at Mount St. Mary's
Thu, Feb 14th 2019 08:50 am
Mount St. Mary's Hospital recently hosted 20 students from the Iroquois Job Corps in Medina as part of the hospital's Mash Camp program.
SOLD! Frontier House has new owners
Tue, Feb 12th 2019 03:10 pm
The 195-year-old Frontier House was sold to a group consisting of Ellicott Development CEO William Paladino and Lewiston developers Jeff and Jerry Williams. Their newly formed LLC purchased the building and almost one acre of land - including a parking lot - from Hastings Lewiston Inc. for the price of $800,000.
Grand Island: McMurray won't seek re-election
Mon, Feb 11th 2019 11:35 pm
Town of Grand Island Supervisor Nathan McMurray on Monday announced he will not seek re-election.
Mt. St. Mary's celebrates Black History Month
Fri, Feb 8th 2019 09:30 am
Mount St. Mary's Hospital conducted a special ceremony on Thursday as part of its Black History Month events. The ceremony was held in front of a capacity gathering in the cafeteria.
Gary Hall opens tennis facility to Lewiston Rec. Department youth
Wed, Feb 6th 2019 04:20 pm
When WTS Chairman Gary Hall proposed adding a tennis complex to his company's North Second and Mohawk streets property in 2013, his son, Brian, said the impetus is "My father very much cares for his employees. Building a health and wellness center for WTS employees, he felt, was the right thing to do. Health and wellness is very important. We want our employees to be happy, healthy."
Artpark's 'Tuesday' schedule to kickoff with Sammy Hagar's 'Full Circle Jam Tour'
Mon, Feb 4th 2019 08:05 pm
Artpark & Company will kickoff the 2019 "Tuesdays in the Park presented by M&T Bank" concert series on June 4 with a mega show: Sammy Hagar's "Full Circle Jam Tour" featuring Michael Anthony, Vic Johnson and Jason Bonham. Special guest Night Ranger will open.
The legend that is Rock Burger grows with 2nd spot
Mon, Feb 4th 2019 04:05 pm
Rock Burger quickly became a cult smash. This was the place where one could get a giant burger, juicy and oozing from the inside out, dripping with head-scratching foodstuffs straight from Lizardo's imagination.
Artpark: Foreigner will perform Aug. 27 as part of 'Tuesdays in the Park'
Mon, Feb 4th 2019 01:00 pm
Foreigner will return to the Artpark Outdoor Amphitheater stage on Aug. 27 as part of the "Tuesdays in the Park presented by M&T Bank 2019" concert series.
Lewiston-Porter Central School District receives stem grant, tech donation
Fri, Feb 1st 2019 05:55 pm
The Lewiston-Porter Central School District has received a $990 STEM grant from the Toshiba America Foundation. Funds will support the Intermediate Education Center STEM program. In particular, monies will be used to purchase Ozobot robots to assist in teaching elementary students how to write code. This will provide students with opportunities to be creative thinkers and engage in higher level technology projects.
UB Libraries builds 24-foot exhibit wall to remember history of civil rights activism on campus
Fri, Feb 1st 2019 02:25 pm
Long before the Distinguished Speaker Series, the University at Buffalo was a destination for powerful figures in the civil rights and political movements of the 1960s-70s, hosting influential guests who ranged from Malcolm X to Muhammad Ali.
Falletta, Mozart and Leslie Odom Jr.: Buffalo Philharmonic Orchestra announces 2019-20 season
Mon, Jan 28th 2019 02:50 pm
The Buffalo Philharmonic is throwing a party, and everyone is invited to attend!
Charity Hockey Classic nets thousands for local causes
Mon, Jan 28th 2019 01:55 pm
On Jan. 10, Greater Niagara FCU hosted its first Charity Hockey Classic at Buffalo RiverWorks. The Greater Niagara FCU Lady Ghosts played the WNY Media All-Stars in an exciting game, with the Media All-Stars winning by 1 goal.
Volunteers from Niagara County help launch 2019 Appeal in support of Catholic Charities
Mon, Jan 28th 2019 01:35 pm
About 70 parish volunteers, clergy, and Catholic Charities' Appeal leadership team and staff attended a volunteer training workshop on Saturday to help kick off the 2019 Appeal in support of Catholic Charities in Niagara County.
Third Eye Blind & Jimmy Eat World 2019 tour stops at Artpark on July 3
Fri, Jan 25th 2019 12:10 pm
Third Eye Blind and Jimmy Eat World bring their "Summer Gods Tour" to the Artpark Outdoor Amphitheater at 6 p.m. Wednesday, July 3, as part of the "Coors Light Concert" series. Ra Ra Riot will serve as the opening act.
Lewiston: Smelt Festival moving to Academy Park
Wed, Jan 23rd 2019 09:05 am
Unlike the fish it's named for, which is tiny and landlocked, the Lewiston Smelt Festival is large and needs room to expand. On Tuesday, the Niagara River Region Chamber of Commerce was granted permission by the Village Board to move the May 3 event from the Lewiston waterfront into Academy Park.
29th annual 'Doctors with a Heart Day' is Feb. 9
Tue, Jan 22nd 2019 01:50 pm
From 9 a.m. until noon Saturday, Feb. 9, Dr. Glenda R. Rose and Dr. Thomas G. Barba of Rose Chiropractic P.C. in Lewiston will sponsor the 29th annual "Doctors with a Heart Day" for their patients. Nonperishable food items will be collected to benefit the Niagara Community Action Program (NiaCAP) food pantry in exchange for chiropractic services.
Spring opening expected for 765 Fairchild Place
Sat, Jan 19th 2019 07:00 am
Construction is nearly complete at 765 Fairchild Place, and a May move-in date was announced on Wednesday night. The 29-unit living complex was constructed at the site of the former Fairchild Manor nursing home.
UB faculty member leads team representing U.S. at international theater design exhibition
Thu, Jan 17th 2019 03:55 pm
Jonathan Shimon, an assistant professor in the University at Buffalo Department of Theatre and Dance, has been selected as the technical director by the U.S. Institute for Theatre Technology (USITT) for the U.S. entry in the 2019 Prague Quadrennial (PQ), the global showcase for the best in performance design, scenography and theater architecture.
Western New York: Catholic Charities launches 2019 Appeal; $1.4 million already collected
Thu, Jan 17th 2019 02:15 pm
Catholic Charities on Tuesday announced the launch of the 2019 Appeal. The goal for the 2019 fundraiser once again is $11 million, of which $1.4 million has already been raised. The theme for the Appeal 2019 is "Help your neighbor find HOPE."
Buffalo: ECHDC issues RFP for marina operations at First Buffalo River Marina
Wed, Jan 16th 2019 01:15 pm
The Erie Canal Harbor Development Corp. (ECHDC) today issued a request for proposals (RFP) for the operations and maintenance of First Buffalo River Marina on the city's Outer Harbor.
The Who to perform in Buffalo
Mon, Jan 14th 2019 12:10 pm
The Who announced they will bring the "Moving On!" tour to KeyBank Center on Thursday, May 9. Tickets for the 8 p.m. go on sale at 10 a.m. Friday, Jan. 18. Prices range from $67.50 to $333.50 (includes $4.50 facility fee) and can be purchased at the KeyBank Center box office, online at www.tickets.com, or by calling 888-223-6000.
Lewiston: Artpark & Company begins long-range master plan process
Sat, Jan 12th 2019 07:05 am
Right before Christmas, Empire State Development announced Artpark & Company was the recipient of a $100,000 award from the Western New York Regional Economic Development Council. The money will go toward the creation of a master plan - a road map outlining what Artpark could and should be now and well into the future.
Extraordinary fleet of 12 tall ships to arrive on July 4, and berth on Buffalo's waterfront through July 7
Thu, Jan 10th 2019 03:00 pm
A fleet of 12 historic and majestic tall ships from harbors across the U.S., Canada, Spain and the South Pacific will grace Canalside, Riverwalk and Erie Basin Marina for Buffalo's inauguration as a host port of the Tall Ships Challenge Great Lakes 2019 race from Toronto to Buffalo on July 4-7.
Celebrate winter 2019 at Niagara Falls State Park
Fri, Jan 4th 2019 03:25 pm
Niagara Falls State Park has announced a lineup of winter events that will help families beat cabin fever and show off the beauty of Niagara Falls in the winter.
Errick Road teachers publish popular book on Buffalo
Thu, Jan 3rd 2019 01:10 pm
Publishing a book is no easy feat. Authors start off with an idea, and sometimes it could be tough for that idea to transfer into a publication. For Brigette Callahan and Kristin Warham, their dream of creating a book about their love of Buffalo came true. The book, "Buffalo From A to Z, Come Take a Tour With Me," is a bright, colorful, 54-page guide around the City of Buffalo.
Joshua Maloni's top celebrity interviews of 2018
Fri, Dec 28th 2018 07:35 pm
These celebrities are not overnight flashes in the pan, but rather innovative actors, artists and musicians who have built a career on accomplishment, and not gossip, their parents' wealth or flipping a bottle on its bottom. In fact, many would resist the term "celebrity," choosing instead to say they've been blessed to be given a platform to touch others.
New Niagara Hospice ambulette begins service thanks to proceeds from Jack Beatty Memorial Hospice Cruise & Clambake
Fri, Dec 28th 2018 05:35 pm
Niagara Hospice unveiled its new ambulette on Friday, ensuring quality transportation for patients will continue for many years, thanks to the donation of more than $34,000 raised by the 19th annual Jack Beatty Memorial Hospice Cruise & Clambake on July 13.
Lewiston: VFW hoping to have new monument built, unveiled in 2019
Sat, Dec 22nd 2018 07:00 am
The Village of Lewiston Board of Trustees endorsed a plan to build a "circle of honor" in Academy Park. Veterans of Foreign Wars Downriver Post 7487 is raising funds to redo the monument area.
USAN board moves Hotel Niagara Project forward
Fri, Dec 21st 2018 02:40 pm
USA Niagara Development Corp. (USAN) board of directors met and authorized the corporation to formally enter into a development agreement with Brine Wells Development LLC or its wholly owned affiliate to start the Hotel Niagara restoration project.
VIDEO: Lew-Port students, community leaders gather to thank Tuscaroras
Wed, Dec 19th 2018 09:40 pm
A remembrance ceremony was held Wednesday, Dec. 19, on the 205th anniversary of the Tuscarora Nation's brave actions to save Lewiston lives in an 1813 British attack.
Mercado Place food hall to open at Fashion Outlets
Mon, Dec 17th 2018 02:45 pm
Fashion Outlets of Niagara Falls, USA, and Mercado Development have announced plans to develop a "chef inspired" food hall at the Fashion Outlets. The food hall, named Mercado Place, is expected to open in the spring of 2019.
PHOTOS: Lindsey Stirling spreads cheer at Ronald McDonald House of Buffalo
Sun, Dec 16th 2018 01:20 pm
Prior to her sold-out concert at Shea's Buffalo Theatre on Saturday night, violinist Lindsey Stirling made a special visit to the Ronald McDonald House in Buffalo. The award-winning EDM-pop-classic artist toured the facility, took pictures, hung out with Santa, had a giant cookie and learned about the charity, which provides a home for out-of-town guests fighting illness.
 

Hometown News

View All News